Bệnh viện
TIM TÂM ĐỨC

ỨNG DỤNG CÔNG NGHỆ LẬP BẢN ĐỒ 3D TRONG CẮT ĐỐT NHỊP NHANH KỊCH PHÁT TRÊN THẤT

16/01/2022

ỨNG DỤNG CÔNG NGHỆ LẬP BẢN ĐỒ 3D TRONG CẮT ĐỐT NHỊP NHANH KỊCH PHÁT TRÊN THẤT

Tác giả: BS. Nguyễn Văn Đáng - Nhóm điện sinh lý tim

Nhịp nhanh kịch phát trên thất là loại nhịp nhanh phổ biến thường gặp ở nhiều độ tuổi bao gồm: nhịp nhanh vòng vào lại nút nhĩ thất, nhịp nhanh vòng vào lại do đường phụ nhĩ thất, nhịp nhanh nhĩ…

Cắt đốt nhịp nhanh kịch phát trên thất đã được thực hiện từ lâu tại nhiều trung tâm. Cắt đốt bằng sóng cao tần có hiệu quả thành công rất cao và an toàn cho các bệnh nhân nhịp nhanh kịch phát trên thất dạng QRS hẹp như vòng vào lại nhĩ thất hay vòng vào lại nút nhĩ thất.

Phương pháp cắt đốt truyền thống được thực hiện dưới màn hình huỳnh quang tăng sáng sử dụng tia X để hướng dẫn đặt các catheter chẩn đoán trong buồng tim và định hình vị trí cắt đốt nhịp nhanh.

Hình nghiêng trái 45° và hình nghiêng phải 30° giúp định hình catheter trong cắt đốt nhịp nhanh kịch phát

Ứng dụng công nghệ lập bản đồ tim 3D trong thủ thuật cắt đốt mang lại nhiều lợi ích trong điều trị nhịp nhanh kịch phát trên thất. Công nghệ này giúp giảm thiểu thời gian sử dụng tia X trong quá trình thực hiện thủ thuật, thậm chí có thể không cần sử dụng tia X trong toàn bộ thủ thuật như đã được thực hiện tại nhiều quốc gia phát triển như Singapore, Mỹ, Châu Âu và Nhật Bản.

Ngoài ra, công nghệ 3D còn giúp gia tăng tỷ lệ thành công trong các trường hợp có giải phẫu tim phức tạp hoặc những trường hợp cắt đốt khó.

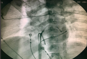
Hình: Thời gian chiếu tia X chỉ vài giây trong thực hiện cắt đốt AVNRT bằng kỹ thuật 3D

Minh họa một trường hợp bệnh nhân

Bệnh nhân nam 15 tuổi nhập viện vì cơn nhịp nhanh kịch phát trên thất với tần số 180 lần/phút kèm triệu chứng choáng váng. Sau khi xử trí cấp cứu tại bệnh viện tỉnh, bệnh nhân được chuyển đến Bệnh viện Tim Tâm Đức để thực hiện thủ thuật cắt đốt nhịp nhanh.

Hình ECG: nhịp nhanh QRS hẹp 180 lần/phút gợi ý AVNRT hoặc AVRT

Sau khi đánh giá tình trạng bệnh nhân, ECG gợi ý nhịp nhanh trên thất do vòng vào lại tại nút nhĩ thất hoặc nhịp nhanh vòng vào lại nhĩ thất. Do bệnh nhân còn nhỏ tuổi nên chúng tôi tiến hành cắt đốt bằng kỹ thuật 3D nhằm hạn chế tối đa thời gian chiếu tia X.

Thủ thuật được thực hiện bằng hệ thống điện sinh lý kết hợp với hệ thống lập bản đồ tim Ensite 3D NavX.

Dựng hình tĩnh mạch chủ dưới từ tĩnh mạch đùi đến nhĩ phải bằng catheter xoang vành.

Dựng hình 3D các cấu trúc trong tim gồm nhĩ phải, vòng van ba lá và xoang vành dưới hướng dẫn của hệ thống 3D.

Đặt các catheter chẩn đoán dựa trên mô hình 3D và chỉ sử dụng khoảng 1.2 giây tia X cho các bước khảo sát cần thiết.

Khảo sát điện sinh lý cơ bản với các tín hiệu điện trong tim được ghi nhận qua các catheter.

Khởi phát cơn nhịp nhanh để xác định cơ chế nhịp nhanh.

Chẩn đoán cơ chế của nhịp nhanh AVNRT bằng các nghiệm pháp điện sinh lý.

Tiến hành cắt đốt đường dẫn truyền chậm và đánh dấu vị trí cắt đốt thành công trên hệ thống 3D.

Tín hiệu cắt đốt đường chậm thành công với nhịp bộ nối gia tốc.

Kết thúc thủ thuật an toàn và đánh giá kết quả thành công.

Tia X (1.2p) được dùng cho thử nghiệm mapping và không liên quan trực tiếp đến bước điều trị.

Kết luận

Kỹ thuật cắt đốt bằng công nghệ lập bản đồ tim 3D mang lại nhiều lợi ích thiết thực cho bệnh nhân loạn nhịp tim và hứa hẹn sẽ được áp dụng rộng rãi hơn trong tương lai.

Tài liệu tham khảo

  • Pani et al; Zerofluoro Supraventricular Tachycardia Ablation, Circ ArrhythElectrophysiol. 2018;11:e005592. DOI: 10.1161/CIRCEP.117.005592
Chia sẻ:

Bình luận

CAPTCHA
Đăng ký khám CALL - Điện thoại Zalo Messenger