Bệnh viện
TIM TÂM ĐỨC

THỬ THÁCH TRONG CẮT ĐỐT HỘI CHỨNG WOLFF – PARKINSON – WHITE

14/10/2023

THỬ THÁCH TRONG CẮT ĐỐT HỘI CHỨNG WOLFF – PARKINSON – WHITE

Tác giả: BS. Nguyễn Văn Đáng

Khoa Điện Sinh Lý – Tạo Nhịp Tim

Bệnh Viện Tim Tâm Đức

Bệnh nhân nam 47 tuổi, tiền căn thay van 2 lá cơ học năm 2013 khám vì hồi hộp nhịp tim nhanh và được chẩn đoán hội chứng Wolff-Parkinson-White. Bệnh nhân thực hiện thủ thuật cắt đốt 4 lần tại bệnh viện khác nhưng không thành công. Cơn nhịp nhanh vẫn còn thỉnh thoảng và được điều trị nội khoa bằng amiodarone uống. Tuy nhiên cơn nhịp nhanh vẫn còn xảy ra làm bệnh nhân mệt, choáng váng gần ngất. Thời gian gần đây bệnh nhân thấy nhịp nhanh xảy ra thường xuyên hơn và kháng trị với thuốc nên nhập viện bệnh viện Tim Tâm Đức.

Điện tâm đồ lúc nhập viện

Điện tâm đồ hình ảnh rung nhĩ dẫn truyền qua đường phụ đáp ứng thất nhanh.

Điện tâm đồ lúc nhịp xoang

Nhịp xoang, ghi nhận sóng delta.

Bệnh nhân được ổn định nhịp tim rung nhĩ bằng thuốc và được chỉ định cắt đốt, tuy nhiên vì đã thực hiện thủ thuật tại các bệnh viện lớn trước đó nhiều lần nên rất phân vân. Sau khi được tư vấn cẩn thận về lợi ích của cắt đốt loạn nhịp nguy hiểm này, bệnh nhân tin tưởng vào đội ngũ điện sinh lý bệnh viện Tim Tâm Đức và đồng ý thực hiện.

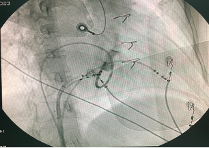
Thủ thuật cắt đốt điện sinh lý được tiến hành ngày hôm sau nhập viện. Trong phòng cath lab ghi nhận bệnh nhân có đường dẫn truyền phụ thành sau vách. Chọc vách liên nhĩ thăm dò vùng nội mạch sau vách bên thất trái gần van 2 lá cơ học ghi nhận điện thế nhĩ thất hoà vào chưa hoàn toàn và vị trí này vì có van 2 lá cơ học nên không tiếp cận mặt thất được.

Hình: chọc vách liên nhĩ và thăm dò thành sau vòng van 2 lá cơ học bên trái nghiêng phải – trái.

Tiến hành map vùng sau vách bên phải vòng van 3 lá ghi nhận điện thế nhĩ thất hoà vào nhau tương tự sau vách bên trái. Tiến hành cắt đốt vị trí này thì chấm dứt đường phụ nhưng sau đó tái phát lại. Tiến hành thăm dò vùng vị trí thượng mạc trong lỗ tĩnh mạch vành hướng về bên trái ghi nhận điện thế nhĩ thất hoà vào nhau làm 1, tiến hành cắt đốt vị trí này thì chấm dứt hoàn toàn đường dẫn truyền phụ này. Bệnh nhân khôi phục nhịp xoang dẫn truyền hoàn toàn qua nút nhĩ thất thông thường.

Hình: vị trí cắt đốt thành công trong xoang vành bằng catheter năng lượng cao và hình ảnh xoang vành.

Cắt đốt thành công mất sóng delta từ nhịp tim thứ 3, QRS hẹp lại.

Điện tâm đồ sau cắt đốt

Bệnh nhân ổn định tái khám ổn, không ghi nhận lại sóng delta.

Bàn luận

Hội chứng Wolff – Parkinson – White (WPW) là một bất thường do tồn tại đường dẫn truyền phụ ngoài nút nhĩ thất bình thường và biểu hiện trên điện tâm đồ bằng sóng delta chiếm tỷ lệ khoảng 0.1-0.3% trong dân số chung. Phần lớn các bệnh nhân tình cờ phát hiện qua đo điện tâm đồ, một số bệnh nhân có triệu chứng nhịp nhanh và đi khám tầm soát ra bệnh. Những bệnh nhân WPW tiến triển thành loạn nhịp tim chiếm tỷ lệ 1-3% mỗi năm.

Phần lớn loạn nhịp do WPW gây ra có phức bộ hẹp, tuy nhiên có một tỷ lệ nhỏ các bệnh nhân WPW có những loạn nhịp nguy hiểm đe doạ tính mạng do các loạn nhịp tần nhĩ (rung nhĩ, cuồng nhĩ, nhanh nhĩ) dẫn truyền hoàn toàn qua đường phụ làm khởi phát rung thất gây ngưng tim, đột tử. Tỷ lệ đột tử ở bệnh nhân có hội chứng WPW ước tính từ 0.15-0.39% trong 3-10 năm theo dõi.

Điều trị bệnh nhân WPW tuỳ thuộc vào biểu hiện của từng bệnh nhân vì phần lớn các bệnh nhân không có triệu chứng. Một số xét nghiệm không xâm lấn như holter ECG, ECG gắng sức có thể giúp phân tầng nguy cơ khi sóng delta biến mất khi gắng sức. Tuy nhiên tỷ lệ bệnh nhân WPW thực sự hoàn toàn không triệu chứng cần đánh giá đúng vì bệnh nhân có thể quen với các triệu chứng loạn nhịp nhẹ thoáng qua lúc khởi đầu.

Điều trị bằng phương pháp cắt đốt sóng cao tần là ưu tiên hàng đầu cho hội chứng WPW nếu bệnh nhân đã có những biểu hiện loạn nhịp, nhất là loạn nhịp nguy hiểm có thể gây đột tử như loạn nhịp nhĩ dẫn truyền qua đường phụ hoàn toàn.

Trong trường hợp bệnh nhân này, bệnh nhân trước khi mổ van tim hai lá không có triệu chứng nhưng đã tiến triển thành loạn nhịp nguy hiểm là rung nhĩ qua đường phụ sau đó theo thời gian. Cắt đốt đường phụ thành sau vách trong trường hợp này gặp khó khăn do bệnh nhân có phẫu thuật van tim và van 2 lá cơ học. Tiếp cận từ trong xoang vành bằng catheter năng lượng cao là một lựa chọn phù hợp và đã thành công.

Tài liệu tham khảo

  • Clinical Arrhythmology and Electrophysiology 3rd edition
  • Krahn AD, Manfreda J, Tate RB, Mathewson FA, Cuddy TE. The natural history of electrocardiographic preexcitation in men. The Manitoba Follow-up Study. Ann Intern Med.
  • Gollob MH, Green MS, Tang AS, Gollob T, Karibe A, Ali Hassan AS, Ahmad F, Lozado R, Shah G, Fananapazir L, Bachinski LL, Roberts R. Identification of a gene responsible for familial Wolff-Parkinson-White syndrome. N Engl J Med.
  • Kobza R, Toggweiler S, Dillier R, Abächerli R, Cuculi F, Frey F, Schmid JJ, Erne P. Prevalence of preexcitation in a young population of male Swiss conscripts. Pacing Clin Electrophysiol.
  • Krahn AD, Manfreda J, Tate RB, Mathewson FA, Cuddy TE. The natural history of electrocardiographic.
Chia sẻ:

Bình luận

CAPTCHA
Đăng ký khám CALL - Điện thoại Zalo Messenger